近日,广州市第一人民医院神经外科成功完成了一例高难度的高颈段髓动静脉畸形手术,为一位特殊患者带来了新生的希望。
患者李女士(化名)是一位38岁的高龄孕妇。孕38周+2天时,她突然出现左侧肢体无力、麻木,症状迅速加重,经过紧急检查,医生发现她颈部脊髓的第3节段有出血,并伴有明显的水肿。最终,她被诊断为颈3-4节段脊髓动静脉畸形并出血。
由于病情危重,李女士(化名)在当地医院紧急接受了剖宫产手术,诞下一名女婴,随后被迅速转入广州市第一人民医院神经外科,接受进一步的治疗。


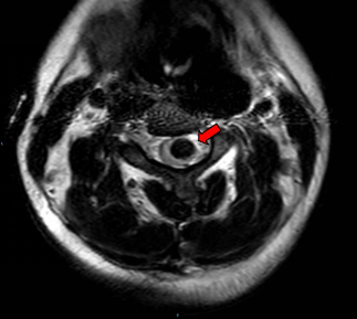
术前MRI提示C3-4髓内占位并破裂出血
脊髓动静脉畸形是一种先天性的血管发育异常,其发生可能与胚胎期血管生成和重塑过程出现障碍有关。在正常情况下,脊髓的动脉和静脉之间通过毛细血管网相连,而畸形血管则是动脉和静脉直接相连,形成异常的血管团。
这种异常的“短路”会导致局部血流动力学改变,血管壁承受更大压力,容易破裂出血。妊娠期由于血容量增加和激素变化,可能进一步加重血管负担,增加出血风险。
李女士转入院时,已经出现了高位截瘫的症状,四肢已完全不能活动,呼吸肌功能也受到了严重影响,情况已十分危急。神经外科曹志恺主任医师团队接诊后,迅速组织了多学科会诊。
专家们经过仔细评估表示,由于患者的病变位于高位颈髓(颈3 - 4节段),手术风险极高。稍有不慎,就可能造成不可逆的神经损伤,甚至危及生命。经过详细讨论,团队决定在复合手术室内为患者实施手术。


复合手术室行术中脊髓造影明确畸形血管团位置
手术当天,医疗团队首先在复合手术室内为患者进行了脊髓血管造影。在神经外科张昊副主任医师和邓敏峰博士的精准操作下,术中脊髓造影成功明确了畸形血管团的“位置”。
随后,在曹志恺主任医师和卢恒聪副主任医师的默契配合下,借助先进的显微镜技术,镜下切开硬脊膜,只见脊髓表面有一根粗大的引流静脉,但畸形血管团并未暴露在外。切除畸形血管团后脊髓表面
凭借丰富的经验,结合造影结果及解剖定位,精准在病灶背侧沿后正中沟切开脊髓,终于发现了深藏于髓内的畸形血管团,清除了髓内血肿,并完整切除了该畸形血管团。整个手术过程都在神经电生理监测下进行,确保手术操作不会对正常神经组织造成额外损伤。

畸形血管团切除后立即脊髓造影明确完整切除
切除完成后,再次进行了造影复核,确认畸形血管团已被完全切除,手术取得了圆满成功。

术中神经电生理监测提示仅左侧三角肌记录到微小运动诱发电位


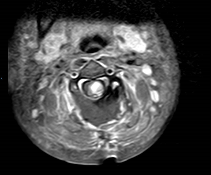
术后MR复查结果
李女士从入院时颈部以下瘫痪,经过神经外科医护团队精湛的手术和术后精心的照料后,上肢肌力恢复至3级(可抬离床面),下肢肌力达到1级。感觉功能明显改善,已恢复触觉等精细感觉。目前,她已经健康出院。

据曹志恺主任医师介绍,脊髓动静脉畸形是一种较为罕见的血管性疾病,其特点是脊髓内出现异常的血管团。这些畸形血管容易破裂出血,导致脊髓受压,严重时会造成永久性瘫痪甚至危及生命。
“本例患者的病变位置特别危险,位于高位颈髓,手术难度和风险都很大。能够成功完成手术,得益于医院复合手术室的先进设备和神经外科团队丰富的临床经验。”
专家提醒
脊髓血管畸形虽然罕见,但危害极大。如果出现突发性的肢体无力、感觉异常或大小便功能障碍等症状,应该及时到有条件的医院就诊,以免延误治疗时机。
广州市第一人民医院神经外科持续推出为民贴心服务,看病不用愁,住院不用等,24小时服务电话:18922708292(微信同号)。